QUE ES UNA CITOLOGIA
Explorando la Citología
La citología es una disciplina médica que estudia las células bajo el microscopio para identificar cambios que pueden indicar enfermedades, incluido el cáncer. Su papel es clave en la detección temprana, con aplicaciones como la prueba de Papanicolaou para el cáncer cervico vaginal (Citología Ginecológica), que ha salvado millones de vidas al permitir intervenciones oportunas.
Prueba de Papanicolau
La prueba de Papanicolaou permite detectar cambios precancerosos y cancerosos en las células del cuello uterino. Se realiza mediante la introducción de un espéculo y la recolección de células con un cepillo suave. Se recomienda cada 3 a 5 años en mujeres mayores de 21. Un resultado anormal no significa necesariamente cáncer, pero requiere seguimiento médico.
La Citología en la Prática Médica
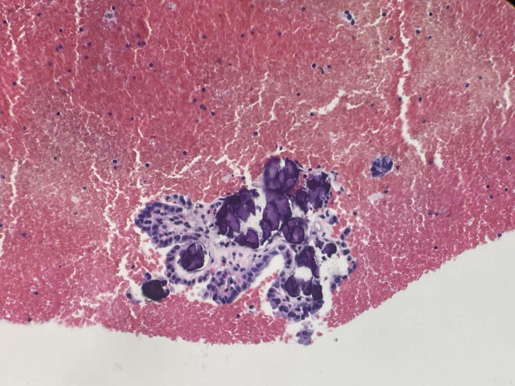
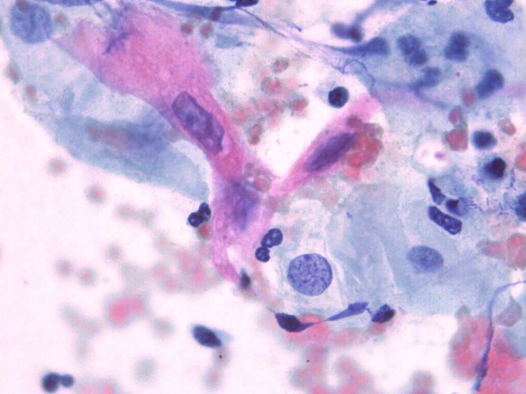
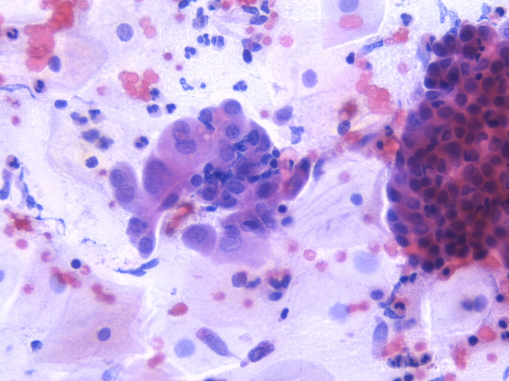
La citología no se limita al cuello uterino: también analiza fluidos corporales y tejidos de diferentes órganos. Técnicas como la aspiración con aguja fina (FNA) permiten evaluar tiroides, mamas y otras áreas de forma mínimamente invasiva. Tras la recolección, las muestras se tiñen con coloraciones especiales, con Inmunohistoquímica e incluso pruebas moleculares y son evaluadas por patólogos expertos, capaces de detectar infecciones, inflamación o lesiones tumorales. Su precisión diagnóstica es fundamental para orientar decisiones clínicas y terapéuticas.
Procedimiento de la Citología
La toma de muestras citológicas, un componente esencial en la detección y diagnóstico de diversas condiciones médicas, es generalmente un proceso seguro y rápido. Involucra técnicas como el cepillado, la aspiración o la recolección de secreciones naturales, dependiendo de la ubicación y el tipo de tejido a examinar. Estas muestras, una vez recolectadas, se fijan en portaobjetos y se tiñen con colorantes específicos para resaltar las características celulares bajo el microscopio. La observación detallada de estas células permite a los patólogos identificar anomalías que pueden indicar desde infecciones bacterianas o virales hasta condiciones más graves como el cáncer. La precisión en la preparación y análisis de las muestras es crucial para obtener resultados diagnósticos confiables, lo que subraya la importancia de la técnica y la experiencia del profesional de laboratorio.
Interpretación Citológica
La interpretación de las muestras sigue sistemas estandarizados como la clasificación de Bethesda en citología cervical. Para asegurar informes consistentes nos guiamos por sistemas estandarizados que orientan al patólogo y al médico tratante. 🔹 Bethesda System Citología cervical (Papanicolaou): usado desde 1988. 🔹 Citología Bethesda de tiroides: sistema de 6 categorías (Bethesda 2017), desde “no diagnóstico” hasta “maligno”, incluyendo atipias y neoplasias foliculares. 🔹 The Paris System (TPS) Citología urinaria: diseñado para mejorar la precisión en la detección de carcinoma urotelial de alto grado. 🔹 Sistema Respiratorio (TIS-RLC) Citología pulmonar: aplicable a esputo, lavados y cepillados bronquiales. Clasifica en negativo, atipia, sospechoso y maligno, siguiendo guías internacionales (OMS/IASLC). 🔹 Otros sistemas importantes Milan System (2018/2023): para citología de glándulas salivarias. 🔹 Sydney System (2020): para citología de ganglios linfáticos.
En definitiva, la citología es un pilar de la medicina preventiva, capaz de detectar alteraciones en fases tempranas y permitir intervenciones que salvan vidas y mejoran la calidad de vida de los pacientes.
Enterate como contactarnos
En Genoprecision, aseguramos diagnósticos precisos y confiables para tu biopsia. Tu salud y tu tiempo es nuestra prioridad.
