En el pasado, la inmunohistoquímica se utilizaba principalmente para demostrar líneas de diferenciación celular en los tumores. Ejemplos de estos son anticuerpos como la actina músculo liso (AML), los diferentes tipos de citoqueratinas (CK), antígeno de membrana epitelial (EMA). Sin embargo, en los últimos 15 años, ha habido un cambio dramático en esta técnica, ahora se usa para detectar alteraciones moleculares específicas en tumores. Estos anticuerpos de diferenciación celular aunque conocidos desde hace tiempo, no siempre son muy específicos, especialmente en los tumores menos diferenciados, ellos sirven para delinear las primeras opciones diagnósticas que ayuden en el diagnóstico tumoral, sin embargo, rara vez son 100% específicos.
La inmunohistoquímica de nueva generación ha permitido identificar alteraciones genéticas a través de la detección de proteínas que se correlacionan con estas alteraciones, como amplificaciones, delecciones y mutaciones. El avance más significativo en este campo ha sido la creación de anticuerpos que identifican alteraciones específicas como la mutación inactivante del ATRX o IDH1 y 2, su uso es rutinario e imprescindible hoy en día para el diagnóstico de gliomas, el anticuerpo STAT6 que identifica la translocación genética recurrente NAB2-STAT6 que es patognomónica del tumor fibroso solitario y el anticuerpo NKX3.1 identifica el gen que se encuentra localizado en el cromosoma 8p21, una región que suele sufrir delecciones heterocigóticas en el cáncer de próstata especialmente en los tumores recurrentes poco diferenciados. En algunos casos, la identificación de estos anticuerpos ha permitido prescindir de pruebas más complejas y costosas como FISH o PCR, ya que estos anticuerpos son fáciles de usar, relativamente económicos y bastante específicos.
La medicina de precisión es un enfoque médico que busca personalizar el tratamiento y la atención de los pacientes según sus características individuales como: perfil genético, biología molecular, ambiente y el estilo de vida, el objetivo principal es identificar los tratamientos más efectivos para cada paciente, aumentando la eficacia y reduciendo los efectos secundarios. En oncología, por ejemplo, la medicina de precisión permite seleccionar terapias basadas en las mutaciones genéticas específicas del tumor, lo que mejora los resultados y puede ofrecer opciones más adecuadas para cada tipo de cáncer. En este tipo de enfoque, tambien permite estratificar a un paciente, es decir clasificarlo en grupos o categorías con base en características específicas para lo cual los biomarcadores moleculares son fundamentales, por ejemplo el diagnóstico de la inestabilidad de microsatélites (MSI) es una alteración genética causada por la pérdida de función de los genes reparadores del ADN (MLH1, MSH2, MSH6, PMS2), la mutación V600E en el gen BRAF resulta en una activación anormal de la vía de señalización MAPK/ERK, que promueve el crecimiento tumoral en melanomas, estos pacientes podrían beneficiarse de inhibidores de BRAF como el vemurafenib.
Los patólogos somos los detectives moleculares, guardianes de los biomarcadores, nuestra función es clave en medicina de precisión: Desentrañar la biología individual para orientar tratamientos específicos, mas efectivos y con menos efectos secundarios.
Finalmente hay técnicas empleadas especialmente en hemato oncología y en ciertos tumores como el melanoma donde se identifican numerosos anticuerpos simultaneamente (de 3 hasta 8 anticuerpos) en algunos casos con inmunofluorescencia, esto permite un diagnóstico integral no solo del tumor y el microambiente tumoral, con técnicas como multiplex immunohistochemistry (IHC) o multiplex immunofluorescence, es una técnica avanzada que utiliza diferentes colores de fluorescencia para visualizar varios anticuerpos al mismo tiempo, lo que ofrece una gran precisión en la identificación de marcadores tumorales.
En resumen, la inmunohistoquímica de nueva generación ofrece nuevas herramientas diagnósticas que, aunque complejas, permiten diagnósticos mas rápidos, más precisos y específicos, en la práctica patológica.
BIBLIOGRAFIA
Bellizzi AM. An Algorithmic Immunohistochemical Approach to Define Tumor Type and Assign Site of Origin. Adv Anat Pathol. 2020;27(3):114-163. https:// doi.org/10.1097/pap.0000000000000256
Shuko Harada, Alexander C. Mackinnon. Navigating Next-Generation Sequencing Laboratory Developed Tests: A Critical Look at Proficiency Testing, US Food and Drug Administration Regulations, and Clinical Laboratory Performance. Arch Pathol Lab Med 2024;148 (2):136–138. https://doi.org/10.5858/arpa.2023-0477-ed
Jason L. Hornick. Next Generation Immunohistochemestry for the diagnosis of soft tissue tumors. USCAP course. 2022.
Leyenda:
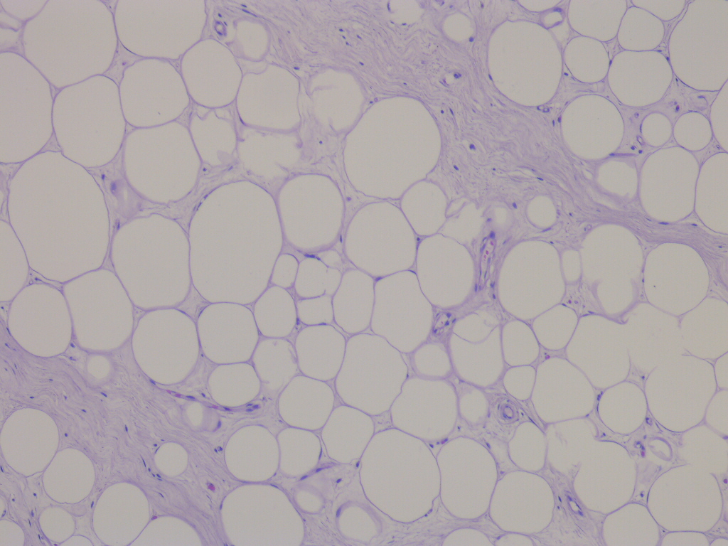
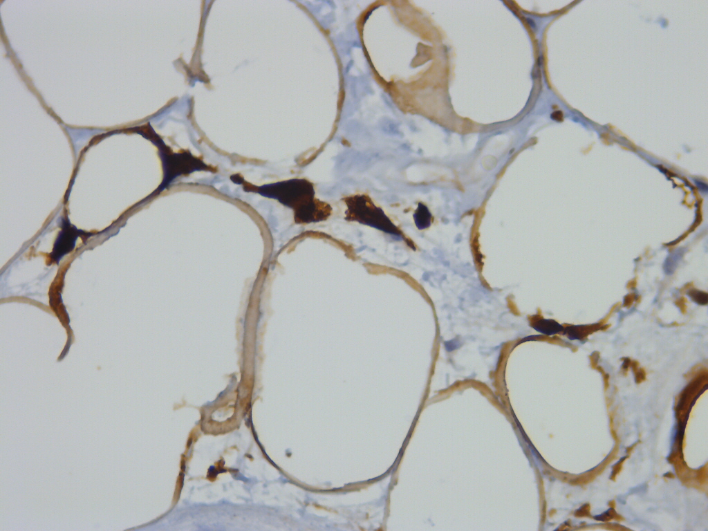
Fotografía 1: Liposarcoma bien diferenciado/Tumor Lipomatoso Atípico con sobreexpresión del MDM2.
Fotografía 2: Carter C, creator. The X-Files [screenshot of Dana Scully performing an autopsy, season 10, episode 6 My Strugle]. Los Angeles: 20th Century Fox Television; 2016.

